¿Así que usted tiene un tatuaje en el brazo u otra parte del cuerpo que lo hace sentir que es diferente a los demás o talvez especial?
Si es así, déjeme decirle que los tatuajes son insignificantes si se les compara con otras formas más extremas de modificación corporal que existen en el mundo.
Algunas son extrañas y otras son simplemente horrorosas. También, el dolor soportado para lograr algunas de estas modificaciones ha sido extremo.
Por mi parte, envejecer es la modificación corporal más extrema que puede existir y será la única que tendré sobre mi cuerpo.
La siguiente lista no está hecha para que sirva como una guía moral en la que se sugiera que es bueno o malo agrandarse las orejas o partirse la lengua por la mitad o algo parecido.
Es simplemente la enumeración de alteraciones y cambios extremos que hacen las personas alrededor del mundo a sus cuerpos por diferentes razones.
10 – Marcado al rojo vivo

El marcado al rojo vivo es el proceso en el cual una marca, usualmente un símbolo o patrón ornamental, es quemado sobre la piel de una persona viva, con la intención de que la cicatriz resultante lo haga permanente.
Este es realizado usando un hierro encendido o congelado. ¡Por consiguiente es la misma forma en la que se marca el ganado!
9 – Implante subdermico

Un implante subdermico es cualquier tipo de joyería corporal que es colocado bajo la piel, por lo tanto, permitiendo que el cuerpo sane sobre el implante creando un diseño levantado.
Muchas de las personas con estos implantes los usan junto a otros tipos de modificaciones corporales para crear un efecto dramático más completo.
8 – Estiramiento del lóbulo

La mayoría de personas se estiran hasta 2 g a (6 mm) y son todavía capaces de que su piel regrese a la normalidad cuando se remueven en la joyería, aunque no hay garantías. No se estire sus orejas a no ser que usted este seguro de quererlas así para siempre.
Una vez que el límite elástico de la piel ha sido superado, o una gran cantidad de tejido extra se ha acumulado, el orificio no se volverá a cerrar completamente.
7 – División de la lengua

Bifurcación de la lengua o división de la lengua, es un tipo de modificación corporal en la cual la lengua es cortada por la mitad desde su punta hasta la base. En la mayoría de los casos, la división es realizada con escalpelo o láser quirúrgico.
Las personas que se automodifican lo hacen usando ligaduras de nilón insertadas por mucho tiempo a través de un piercing que ya se tenía antes en la lengua. Este método es largo, arduo, y requiere de una alta tolerancia al dolor.
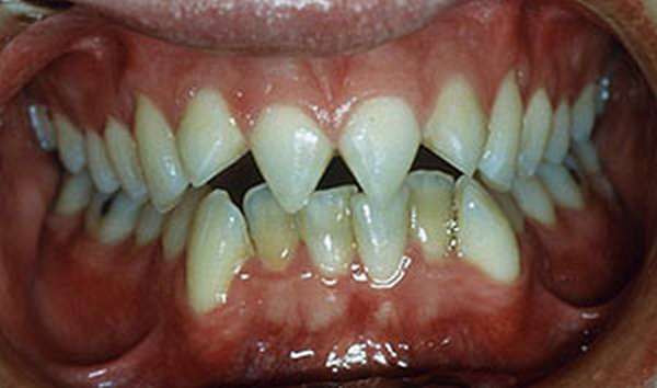
6 – Limado dental

El limado de los dientes es una forma de modificación corporal en la cual las personas liman sus dientes naturales para crear una apariencia o forma deseada.
5 – Fajas estrechas

También llamado entrenamiento con corsé o entrenamiento de cintura, esta es la práctica de usar un corsé extremadamente apretado para lograr modificaciones corporales extremas en la figura y la postura al modificar los huesos de la caja toráxica en cierta forma.
4 – Chaquiras genitales

Esta es la práctica de insertarse permanentemente pequeñas chaquiras hechas de diferentes materiales debajo de la piel de los genitales- en los labios mayores, o el prepucio.
Usualmente usado por las personas para aumentar el placer sexual durante el coito. Aparentemente, ha sido usado por muchas civilizaciones a través de los tiempos.
3 – Tatuado corneo

Los tatuajes en los ojos han sido parte de la sociedad por mucho tiempo; en el siglo XIX era comúnmente usado de una forma estética para corregir pequeños defectos cosméticos en los ojos de los ciegos.
El procedimiento puede ser realizado con una aguja de tatuaje normal o jeringa. El ojo es simplemente sostenido en posición abierta mientras el pigmento, el cual es exactamente igual al usado en los tatuajes corporales, es inyectado en el globo ocular.
2 – Estiramiento anal

El proceso del estiramiento anal es parecido al estiramiento de los lóbulos, pero no se usa la “joyería”las 24 horas del día.
De la misma forma que se estira un pearcing se requiere el uso lento y constante de “herramientas” cada vez más grandes.
1 – Implante extraocular

El uso de joyería en la capa exterior del ojo es algo que debo admitir nunca había escuchado antes. Aparentemente, hecho por primera vez en Holanda, ha llegado a los Estados Unidos. De acuerdo al Dr. Christopher Capuano, un cirujano de córneas en el Hospital de Ojos Wells en Filadelfia,“Puedo pensar que esto es una locura.
Quiero decir que esto es una cirugía invasiva en la cual usted está cortando la superficie exterior del ojo para colocar un pequeño pedazo de joyería adentro. La primera vez que leí acerca de esto, dije, “Ay, mi Dios, ¿quién está haciendo esto?””
La seguridad de este procedimiento se sabrá con el paso del tiempo, ya que no ha sido realizado en muchas personas aún, pero las probabilidades de complicaciones y riesgos de infecciones están ahí presentes.
Bonus – Gafas perforadas

James Soy y Oliver Gibón se han inventado estas gafas perforadas, los anteojos más minimalistas alguna vez creados. Nunca lo hubiera creído sin verlo primero con mis propios ojos.
